Stargardt's disease age of onset. Between ages 10 and 40 people with this condition usually start to develop symptoms. Stargardt disease is an autosomal recessive retinal dystrophy caused by mutations in the ABCA4 gene and affects 18000 to 110000 people worldwide. Stargardt disease is an ABCA4-associated retinopathy which generally follows an autosomal recessive inheritance pattern and is a frequent cause of macular degeneration in childhood.
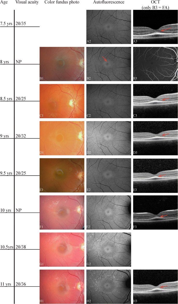
The mean age of onset was 9634 years for the combined childhood-onset participants and 28378 years for adulthood-onset participants. The individuals usually start out with excellent vision but begin to have difficulty with reading and seeing clearly when lights are dim. 1 Patients generally develop central loss of vision in childhood or early adulthood.
The mean age at onset was 55 years range 45-72 years. It is rare for people with the disease to become completely blind. The onset of Stargardt disease is typically in childhood or adolescence and the progression rate is quite variable.
Fifty-one Stargardt patients with age at onset 10 years. It affects the macula which is in the central retinal area. Stargardt disease is the most common inheritable macular dystrophy associated with mutations in the ABCA4 gene which accounts for the majority of macular degeneration in young people.
Issues can include trouble reading and color perception changes. The visual acuity VA at presentation varies from 2020 to 20400 with earlier age of onset having a worse visual prognosis. Twenty-one unrelated patients with presumed STGD1 were included.
Stargardts disease typically develops during childhood or adolescence but the age of onset and rate of progression can vary. Stargardt disease is a form of macular degeneration that is inherited. The symptoms may include.
The disease occurs in adults of 40-50 years age. The disease typically causes vision loss during childhood or adolescence although in some forms vision loss may not be noticed until later in adulthood.
The onset of Stargardt disease is typically in childhood or adolescence and the progression rate is quite variable.
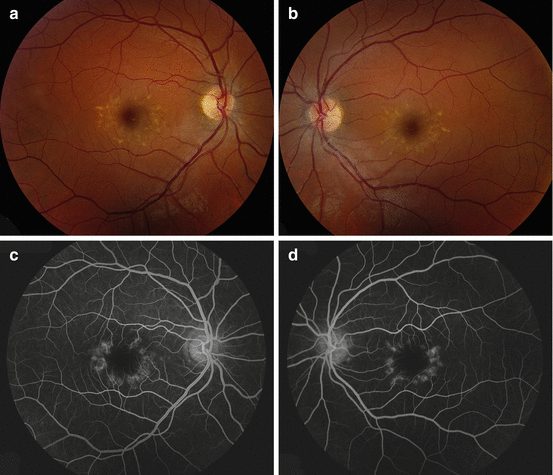
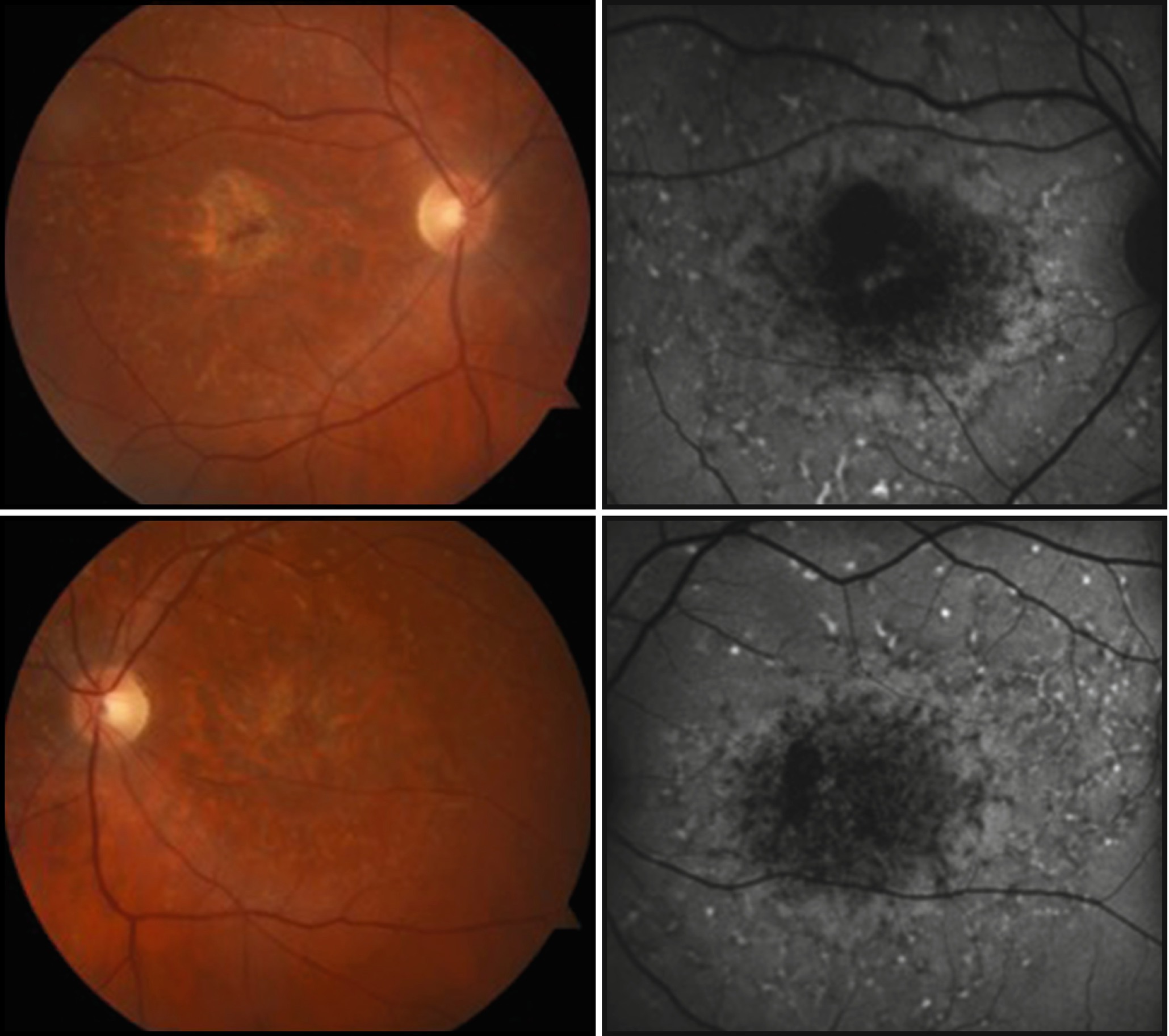
Fifty-one Stargardt patients with age at onset 10 years. This is when the loss of central vision is noticed. Between ages 10 and 40 people with this condition usually start to develop symptoms. 2 4 However late-onset Stargardt can be diagnosed at age 45 years and has been associated with carrying one or two mutant ABCA4 alleles. Patients were grouped based on the age at baseline and age of onset into children n56 adults with childhood-onset disease n15 and adults with adulthood-onset disease n19. Issues can include trouble reading and color perception changes. The retinal pigment epithelium RPE a layer of cells supporting photoreceptors is also affected in people with Stargardt disease. The age of onset and disease severity vary but generally the longer the duration of disease the more severe it is. Late onset Stargardts disease patients usually encounters with metamorphopsia a distorted vision in which a grid of straight lines appears wavy and parts of the grid may appear blank and no visual acuity.
ABCA4 displays significant allelic heterogeneity whereby different mutations can cause retinal diseases with varying severity and age of onset. The retinal pigment epithelium RPE a layer of cells supporting photoreceptors is also affected in people with Stargardt disease. Eventually almost everyone with Stargardt disease has a visual acuity in the range of 20200 to 20400. Stargardt disease is an autosomal recessive retinal dystrophy caused by mutations in the ABCA4 gene and affects 18000 to 110000 people worldwide. Between ages 10 and 40 people with this condition usually start to develop symptoms. Issues can include trouble reading and color perception changes. 1 Patients generally develop central loss of vision in childhood or early adulthood.

0 Yorumlar